施設MAP

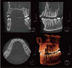
歯科用3Dパノラマ撮影装置(エクセラスマート F+)
当診療所では、歯科用3Dパノラマ撮影装置(エクセラスマート F+)を導入しております。
これまで以上に、より正確に患部の状態を把握できるようになり、患者様に精度の高い、安全で確実な歯科診療を提供することができるようになりました。

デントモード
オーラルモード(上下合成)高画質
従来に比べ、より高画質で高精度の画像撮影が可能に。
歯根の形態から上顎洞・顎関節等に至るまで、総合的により細部の把握が可能になり、1枚の写真で的確な診断が容易にできるようになりました。
低負担
撮影時間の高速化により、治療時間も短縮。
撮影時にかかる患者様へのご負担が少なくなりました。
また、性能の向上により、追加撮影をお願いするケースも不要になりました。
低線量
歯科に特化した装置のため、治療に必要な部分を限定して、速やかに撮影することも可能です。その結果、患者様の被ばく放射線量の削減・抑制を実現しています。
SOMATOM Scope

SOMATOM Scope 16列(シーメンスヘルスケア)
詳細で高画質の断層像により診断能が向上
2~3ミリのスライス画像や3次元画像および任意の断面での画像により、X線画像でわかりにくい細かな病巣や骨折等の描出が可能です。



患者さんの負担を小さくした検査です
検査は、上を向いて寝ていただき、数分程度以内で終わります。
検査部位によっては、短時間の息止めをお願いします。
Gallery
A-1 物理療法室
A-2 リハビリテーション室

B-1 内視鏡室
B-2 エコー室
B-3 診察室/処置室/点滴室
C-1 歯科
D-1 CT室
D-2 骨密度測定室
D-3 X線撮影室
E-1 薬局

お薬のことなどお気軽にご相談ください。

クリニック内に薬局がありますので、すぐにお薬をお渡しできます。
総合受付
待合ホール
廊下
