整形外科・外科
整形外科・外科について

日常のケガ、骨折、腰痛・ひざ痛などに対応しています。
また、リハビリテーション科を併設しており、患者様の症状に応じた治療をご案内しています。
診療日・受付時間
| 診療日 | 月~金曜日 ※休診日:土曜日・日曜日・祝祭日・年末年始(1/1~1/3、12/29~12/31) |
|---|---|
| 受付 時間 |
午前 9:00~11:30 午後 13:00~16:00 |
診療内容

- 骨や関節の痛み
- 手や足のしびれ
- 歩行障害
- 筋肉の痛み
- 筋力の低下
- ケガや外傷による痛み
- など
- 整形外科
- 外科
- 消化器外科
- リハビリテーション科(含:運動器)との連携
- 骨密度検査
- 物理療法
担当医
藤田 豊久
所属
栗東診療所 所長
診療日
月・火(午後)・水(午前)・木・金曜日
竹林 克士
所属
滋賀医科大学
診療日
火曜日(午前)
専門分野
消化器外科
篠永 翼・伊藤 静・三浦 匠 ※交代制
所属
滋賀医科大学
診療日
水曜日(午後)
専門分野
整形外科
物理療法機器・検査機器
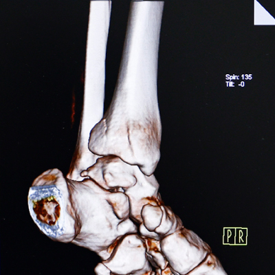
Ⅹ線CT装置(16列マルチスライス) Siemens SOMATOM Scope
X線投影データをもとに、コンピューターによって再構成された画像により体内の形態情報を得ることができます。
細かいスライスデータにより、目的部位の三次元画像や任意の断面の画像を作成し、正確な診断に寄与する画像データを得ることができます。
使用するX線量は最適化され、被ばくの低減に努めています。



予約不要。即日検査いたします。(単純CTのみ)
医師の診断~CT撮影まで、受診日当日に即日検査いたします。
ご希望の方は栗東診療所を受診のうえ、医師にご相談ください。
能動型自動間欠牽引装置(スーパートラック)
椅子にすわる姿勢でそのまま牽引。理想的な牽引治療の姿勢を自動的にセットし、効果的な治療を実現します。
浮腰式腰痛治療器(プロテック)
安全で無理なく腰痛治療が可能です。上半身をかかえ上げた状態で固定、腰部に上半身の重さがかからない(椎間板内圧を下げた)状態を保ちながら腰部・下肢部等の運動療法が行えます。
SSP低周波治療機
東洋医学の鍼麻酔の鎮痛作用と、西洋医学の電気治療(低周波治療)の組み合わせで実現したSSP療法器は、その治療効果により幅広い分野で認められています。
干渉電流型低周波治療器 (スーパーカイネ)
周波数の異なる搬送波を身体に流すと、干渉しあう領域に干渉低周波が発生します。それを利用した干渉低周波治療法は、不快感なく、電気エネルギーを身体に与えることができ治療部位に十分な刺激を加えることができます。
半導体レーザー治療器
半導体レーザーの照射によって、筋肉や関節の痛みをやわらげます。
ウォーターマッサージベッド
「水」の流体特性を応用し、「手技療法」と同様の力強く・心地よい刺激をつくりだします。
マクロ波治療器(マイクロタイザー)
マイクロ波のエネルギーを熱に変換して照射し,身体の深部を温め、痛みを和らげたり、血行を改善します。
骨密度測定装置
微弱なX線を腰椎や大腿骨等に照射して、骨密度の測定、骨折リスクの評価を行います。
X線撮影装置
X線発生装置とX線平面検出器を用いて胸部や骨などの画像診断を行います。X線量は最適化され、被ばくの低減に努めています。
