歯科
歯科について

一般的な治療は元より、予防処置、定期健診を通じて患者さまに最適な診療を目指しています。
またホワイトニング等、歯に関するご要望はお気軽にご相談ください。
診療日・受付時間
| 診療日 | 月~金曜日 ※休診日:土曜日・日曜日・祝祭日・年末年始(1/1~1/3、12/29~12/31) |
|---|---|
| 受付 時間 |
午前 9:00~11:20 午後 13:00~16:20(金曜日は18:00まで受付) |
| 歯科 予約 |
※お気軽にお電話にてお問い合わせ下さい。 |
診療内容

- 虫歯
- 歯肉炎
- 歯周炎
- 咬合性外傷
- など
- 一般歯科
- ホワイトニング
安全・衛生管理の取り組み
タービン(歯を削る機械)の消毒・殺菌・滅菌について
当診療所では安全・衛生管理を徹底しております。
-
- 洗浄
-
●タービン洗浄&オイル注入器(NSK Care 3 Plus)
器具の汚れを拭いて落とした後、専用の機械を用いて、確実に自動洗浄・オイル洗浄を行います。
-
- 滅菌パックの準備
-
洗浄が完了した器具を、1つ1つ滅菌パックに入れ、消毒・殺菌・滅菌器のトレイにセットします。
-
- 消毒・殺菌
-
●ホルムアルデヒドガス消毒器(ホルホープデンタル)
トレイを機器に入れ、消毒・殺菌を行います
当診療所では、ホルマリン(消毒剤)を使って消毒・殺菌するガス消毒器を用いております。
ホルマリンは広範囲の雑菌やウイルスに非常に強い殺菌力を持ち、高温では傷みやすいタービン等の器具も確実に消毒・殺菌することができます。
-
- 滅菌
-
●全自動高圧蒸気滅菌器(オートクレーブ)
ガス消毒器では消毒・殺菌しきれない雑菌やウイルス、その他医療器具に対しては、オートクレーブでの滅菌も併用して行っています。
高温・高圧(132度、3気圧)の蒸気を行き渡らせ、あらゆる種類の雑菌やウイルスを完全に滅菌します。
-
- 完了
-
●使用する直前に開封します
消毒・殺菌・滅菌が完了した器具は、滅菌パックに入れたままユニットに用意し、患者様の治療に使用する直前に開封します。
その他、スタッフが使用する手袋は、作業ごと、患者様の治療ごとに新しいものに取り換えています。
栗東診療所では、治療に使用する医療器具を徹底して殺菌・消毒しており、
患者様一人ひとりに安心して治療を受けて頂ける体制を整えております。
ぜひ、ご来院ください。
当診療所は「歯科外来診療環境体制加算(外来環)」の施設基準を満たしております。
『歯科外来診療環境体制』とは、歯科診療時の偶発症など緊急時の対応及び、感染症対策としての装置・器具の設置などの取り組みを行っている体制のことです。
これは歯科診療の特性を踏まえ、より安全で安心できる歯科外来診療の環境の整備を図る取り組みに対する評価です。当診療所は、この基準を満たす医療機関として認定されています。
当診療所は、緊急時の体制、患者様ごとの医療器具の交換や滅菌処理を徹底しています。皆様ご安心のうえ、ぜひ栗東診療所にご来院ください。
「歯科外来診療環境体制加算(外来環)」施設基準
- 所定の研修を修了した常勤の歯科医師が1名以上配置されていること(当診療所は1名)
- 歯科衛生士が1名以上配置されていること(当診療所は4名)
- 緊急時の初期対応が可能な医療機器(AED、酸素ボンベ及び酸素マスク、血圧計、パルスオキシメーター等)を設置していること
- 診療における偶発症等緊急時に円滑な対応ができるよう、別の保険医療機関との事前の連携体制が確保されていること
(連携先病院:済生会滋賀県病院) - 口腔内で使用する歯科医療機器等について、患者ごとの交換や、専用の機器を用いた洗浄・滅菌処理を徹底する等十分な感染症対策を講じていること
- 感染症患者に対する歯科診療について、ユニットの確保等を含めた診療体制を常時確保していること
- 歯科ユニット毎に歯牙の切削や義歯の調整、歯の被せ物の調整時等に飛散する細かな物質を吸収できるよう、歯科用吸引装置(口腔外吸引器)を各チェアに設置していること
- 歯科診療に係る医療安全管理対策を実施している旨の院内掲示を行っていること
担当医
山本 浩貴
所属
大阪歯科大学
診療日
月~金曜日
専門分野
口腔外科
専門医
日本口腔外科学会認定:口腔外科専門医
新井 春佳
所属
大阪歯科大学
診療日
火曜日
専門分野
口腔外科
専門医
日本口腔外科学会認定:口腔外科認定医
山崎 光葉
所属
大阪歯科大学
診療日
木曜日
専門分野
補綴咬合
各種機器
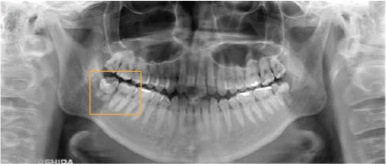
3Dパノラマ撮影装置
当診療所では、歯科用3Dパノラマ撮影装置(エクセラスマート F+)を導入しております。
これまで以上に、より正確に患部の状態を把握できるようになり、患者様に精度の高い、安全で確実な歯科診療を提供することができるようになりました。
①高画質
従来に比べ、より高画質で高精度の画像撮影が可能に。
歯根の形態から上顎洞・顎関節等に至るまで、総合的により細部の把握が可能になり、1枚の写真で的確な診断が容易にできるようになりました。

小型:最小80μmの
ボクセルサイズを実現

歯根の形態や根尖方向などの
細部の撮影~把握が可能です。
②低負担
撮影時間の高速化により、治療時間も短縮。撮影時にかかる患者様へのご負担が少なくなりました。また、性能の向上により、追加撮影をお願いするケースも不要になりました。

8秒撮影でも診断に有効な
画面撮影が可能です。

当社従来のセンサー撮影では
16秒かかります。
③低線量
歯科に特化した装置のため、治療に必要な部分を限定して、速やかに撮影することも可能です。その結果、患者様の被ばく放射線量の削減・抑制を実現しています。

ユニット
5台のユニットを備えております。
ユヤマクレーブ
全自動高圧蒸気滅菌器。すべての細菌・ウィルスに有効な高圧蒸気滅菌器です。
ホルホープデンタル (ガス滅菌器)
常温・常圧にて殺菌を行うガス消毒器です。
